
2023年11月仁泰集团全国九家体检部,发现重要异常检查结果788例,其中A类54例,包括高血糖、高血压、严重窦性心动过缓等,B类734例,其中包括恶性肿瘤(肺癌、甲状腺癌、肝癌、肾癌、膀胱癌、乳腺癌、脑部占位性病变以及纵隔椎体旁占位等)、冠脉狭窄、肺部感染性疾病、甲状腺疾病、肾脏疾病、肝脏疾病、妇科疾病等。重要异常结果检出率为2.2%,回访率100%。这充分说明,健康体检对于早期发现健康隐患及重大疾病,并及时进行干预和处置,有着十分重要的意义。
重要异常检查结果占比排名前五的体检科室:
彩超室占40%、影像科占29.4%、检验科占22.3%、妇科占11.7%、心电图占2.1%。
重要异常检查结果排名前五的疾病类别分别为:
肺部疾病、甲状腺疾病、肝脏疾病、妇科疾病、肾脏疾病。
重要异常检查结果案例
01、**男士,61岁
于2023年11月9日在邯郸仁泰东区体检,冠脉CTA检查提示:冠脉分布呈右优势型。左冠状动脉主干起自主动脉左窦后上方,随即分支为左前降支及回旋支。左、右冠、回旋支及部分分支多发大小不等钙化斑块,局部管腔均呈不同程度狭窄,前降支近、中段、回旋支中段、右冠中段局部管腔均达重度狭窄。首次回访2023年11月10日,通知客户到三甲医院进一步检查和治疗。2023年11月24日跟踪回访,客户已在北京某三甲医院完成支架手术。
02、**男士,78岁
于2023年11月1日在邯郸仁泰西区体检,膀胱彩超检查提示:膀胱内见大小约2.5*1.1cm低回声,可见血流信号。首次回访2023年11月1日,通知客户到三甲医院进一步检查。2023年11月6日跟踪回访,客户家属告知,就诊市第一医院,诊断膀胱癌早期,实施微创手术切除,后期继续化疗。
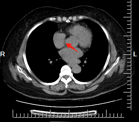
03、**女士,69岁
于2023年10月17日在邯郸仁泰东区体检,低剂量肺部螺旋CT检查提示:右侧上纵隔椎体旁占位病变26*38mm。2023年10月18通知客户到三甲医院进一步检查。2023年11月18日跟踪回访,客户反馈已在北京肿瘤医院完成手术,术后恢复良好。
04、**男士,60岁
于2023年10月24日在邯郸仁泰东区体检,腹部彩超检查提示:肝内见多个无回声,较大位于右叶,大小约1.2*1.1cm,边界清,外形规则,右叶另见多个实性等回声团,较大约11.4*7.8cm,中央可见液化。2023年10月25日通知客户到三甲医院进一步检查。2023年11月25日跟踪回访,客户家属反馈在邯郸市中心医院进一步检查考虑肝癌,现已在中心医院住院治疗。
05、**男士,58岁
于2023年10月17日在宜昌仁康体检部体检,腹部彩超检查提示:肝肾之间9.0*6.3cm混合回声团。2023年10月18日通知客户到三甲医院进一步检查。2023年11月19日跟踪回访,客户反馈已在当地某三甲医院完成肿瘤切除手术。
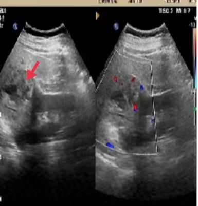
06、**女士,57岁
于2023年10月27日在邯郸仁泰南区体检,乳腺彩超检查提示:右侧乳腺10-11点方向见大小约1.4*0.8cm低至无回声,边界欠清,形态欠规整,右侧乳腺约12点方向见大小约1.3*1.0cm低回声,边界欠清,形态欠规整,内回声不均,右侧腋下见大小约1.0*0.6cm低回声,随即通知客户到三甲医院进一步检查,2023年11月6日电话回访,客户已到石家庄省四院进一步检查明确病变性质。2023年11月30日跟踪回访,客户已在石家庄省四院手术治疗。
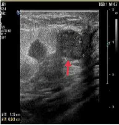
07、**女士,55岁
于2023年11月2日在邯郸仁泰北区体检,甲状腺彩超检查提示: 甲状腺右叶见大小约0.4*0.25cm低至无回声,边界清晰,CDFI:其内及周边未见血流信号。左叶见多个等低回声,较大约0.37*0.42cm,较大纵横比>1,边界尚清,CDFI:其内及周边未见血流信号。2023年11月3日电话通知客户到三甲医院进一步检查。2023年11月20日跟踪回访,客户已在邯郸某三甲医院穿刺,诊断甲状腺癌后完成手术切除。
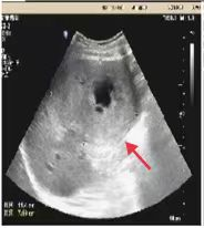
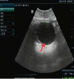
08、**女士,37岁
于2023年11月7日在邢台仁泰体检部体检,腹部彩超检查提示:腹腔内约7.4*6.3cm囊实性混合回声,2023年11月7日电话通知,建议客户到三甲医院进一步检查。2023年11月14日跟踪回访,客户已到邢台市人民医院住院准备手术。
09、**女士,36岁
于2023年11月10日在邢台仁泰体检部体检,颅脑MRI提示:左侧CPA长径约4cm大小不规则占位性病变、包膜完整信号不甚均匀,呈稍长T1稍长长T2-FLAIR改变。瘤周无水肿、占位征象明显、局部小脑、延髓明显受压变形移位。2023年11月10日电话通知,建议客户去三甲医院进一步检查,2023年11月17日跟踪回访,客户已到北京天坛医院就诊,考虑脑部占位性病变,已住院手术。
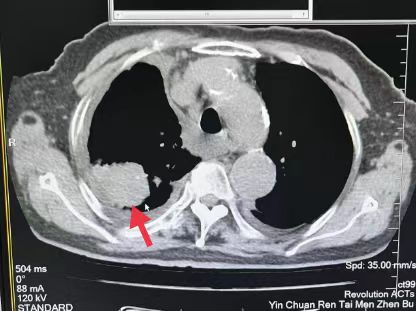
10、**男士,80岁
于2023年11月18日在银川仁泰体检部体检。低剂量肺部螺旋CT检查提示:右肺上叶肿瘤性病变(性质待定,右肺上叶尖段见约34*36mm紧贴胸膜不规则软组织实性密度影,可见分叶征、短毛刺征、胸膜凹陷征、空泡征(近边缘));后上纵膈气管后食管右侧胸椎右前可见39*17mm实性肿块影。双侧胸腔见少量积液。2023年11月20日电话通知客户到三甲医院进一步检查。2023年11月30日跟踪回访,客户已在当地三甲医院住院治疗。
体检异常结果是受检者在无症状、无体征的情况下发现的某系统或某器官出现的异常,提示某些疾病存在的可能,需要进一步的医疗诊断和治疗,其中最重要的就是重要异常检查结果,如果这些结果能够早发现、早诊断并采取及时、规范的处置,可有效提高重大疾病的诊疗效果,甚至挽救受检者的生命。
仁泰健康管理集团各体检部严格按照《健康体检重要异常结果管理专家共识》的要求,认真做好重要异常结果的告知、处理及跟踪工作,使广大客户在第一时间了解自己存在的重大异常状况,并及时进行进一步的确诊和治疗。重大疾病的早期发现和及时治疗,极大地提高了相关疾病的治疗效果,有效改善了预后。仁泰体检通过全面、细致、准确的健康体检以及严格的质量控制管理,为客户创造了弥足珍贵的健康价值和生命价值。仁泰体检将一如既往的做好重要异常结果管理工作,真正为您的健康保驾护航。