
2023年10月仁泰集团全国九家体检部,发现重要异常检查结果820例,其中A类73例,包括高血糖、高血压、严重窦性心动过缓、Щ°房室传导阻滞等,B类747例,其中包括恶性肿瘤(肺癌、甲状腺癌、肝癌、肾癌、宫颈癌、盆腔恶性肿瘤、前列腺癌以及纵膈囊肿等)、冠脉狭窄、肺部感染性疾病、甲状腺疾病、肾脏疾病、肝脏疾病、妇科疾病等。重要异常结果检出率为2.7%,回访率100%。这充分说明,健康体检对于早期发现健康隐患及重大疾病,并及时进行干预和处置,有着十分重要的意义。
重要异常检查结果占比排名前五的体检科室:
彩超室占35.4%、影像科占27%、检验科占26%、妇科占7.2%、心电图占3.5%。
重要异常检查结果排名前五的疾病类别分别为:
肺部疾病、甲状腺疾病、肝脏疾病、妇科疾病、肾脏疾病。

重要异常检查结果案例
01、**女士,57岁
于2023年9月31日在邯郸仁泰东区体检。冠脉CTA检查提示:冠状动脉起源正常,分布呈右优势型。左冠主干开口正常,前降支近、中段钙化斑块,局部管腔狭窄达90%以上。右冠状动脉起自主动脉右窦,近、中、远段多发钙化斑块,局部管腔分别狭窄约56%、90%、39%左右。首次回访2023年10月8日,通知客户到三甲医院进一步检查和治疗。2023年10月24日跟踪回访,客户已在北京某三甲医院完成支架手术。

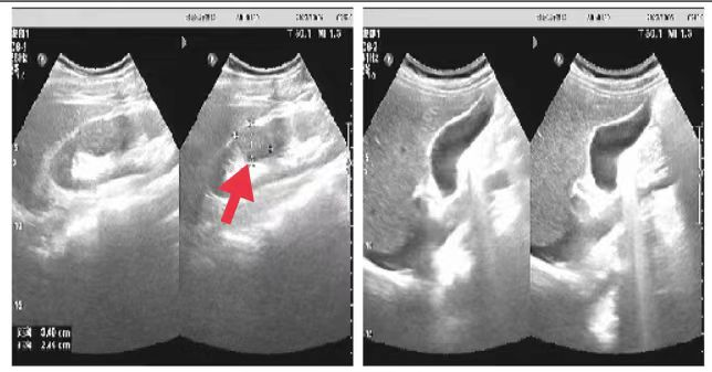
02、**女士,50岁
于2023年10月3日在邯郸仁泰东区体检。腹部彩超检查提示:胆囊内壁见数个等回声,较大约1.4*0.9cm,形态不规则,后方无声影,不移动,囊内另见点状强回声,后方伴彗星尾征。考虑:胆囊壁等回声,占位?建议进一步检查。2023年10月4日电话回访,通知客户到三甲医院进一步检查和治疗。2023年10月20日跟踪回访,客户告知,已在邯郸市中心医院完成胆囊切除手术,目前还在恢复中。
03、**男士,73岁
于2023年10月3日在邯郸仁泰北区体检。实验室检查提示:前列腺特异抗原(PSA)23.17 ng/ml。前列腺彩超检查提示:前列腺稍大,实质回声欠均匀,内可见稍低回声,大小约1.3*1.6cm,边界欠清,内回声欠均匀,CDFI:可见点状血流信号,建议客户到三甲医院进一步检查。2023年10月17日电话回访,客户家属告知,已到三甲医院进一步检查等待结果,2023年10月29日跟踪回访,客户家属告知,客户已在省某三甲医院手术治疗。
04、**女士,59岁
于2023年10月13日在邯郸仁泰北区体检,甲状腺彩超提示: 甲状腺切面形态大小正常,右叶实质内见2个低回声,较大约0.5cm*0.6cm,边界尚清,内见强回声,纵横比>1,CDFI:其内及周边未见血流信号。诊断:甲状腺结节伴钙化。建议客户到三甲医院进一步检查。2023年10月17日跟踪回访,客户告知,在邯郸某三甲医院穿刺确诊,甲状腺癌,准备手术。
05、**女士,73岁
于2023年10月14日在邢台仁泰体检部体检,子宫附件彩超检查提示: 子宫切除术后,盆腔内可见大小约9.2*6.7cm囊实性包块,边界欠清晰,形态欠规整,CDFI;周边可见点状血流信号。诊断: 盆腔内囊实性包块。建议客户到三甲医院进一步检查。2023年10月19日跟踪回访,客户家属告知,确诊盆腔肿瘤,住院准备手术。
06、**男士,53岁
于2023年10月5日在邯郸仁泰南区体检,腹部彩超检查提示:右肾实质内见大小约3.0*2.4cm低回声,边界清,形态规整。诊断右肾低回声,建议客户到三甲医院进一步检查。首次回访:2023年10月10日电话回访,客户已在中心医院进一步检查, 明确病变的性质。2023年10月31日跟踪回访,客户已在中心医院完成手术治疗。
07、**男士,53岁
于2023年9月9日在宜昌仁康体检部体检,腹部彩超检查提示:肝实质回声稍增粗,肝内异常回声;CT附见肝右叶稍低密度影,建议客户增强CT检查;实验室检查:甲胎蛋白:14.78。建议客户到三甲医院进一步检查。2023年9月16日电话回访,客户到武汉协和医院住院。2023年10月30日跟踪回访,客户告知,已行手术治疗,病理检查结果确诊肝癌。
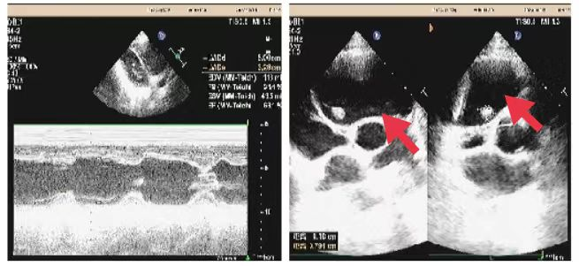
08、**女士,25岁
于2023年10月15日在邯郸仁泰西区体检,心脏彩超检查提示:前纵膈内囊性回声7.3cm*5.3cm,考虑纵膈囊肿,建议客户到三甲医院进一步检查。2023年10月25日跟踪回访,客户已在中心医院就诊,确诊纵膈囊肿拟手术治疗。
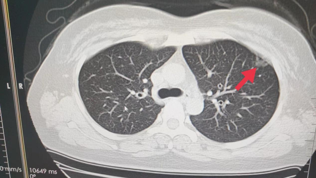
09、**女士,44岁
于2023年10月16日在银川仁泰体检部体检,低剂量肺部螺旋CT提示:左肺上叶前段(im17)见约15*5mm结节,见毛刺征、分叶征、胸膜凹陷征。建议客户到三甲医院进一步诊治。2023年10月31日跟踪回访,客户家属告知,已在当地某三甲医院完成肺部手术,目前恢复中。
10、**女士,68岁
于2023年10月9日在邢台仁泰体检部体检。妇科TCT检查提示:意义不明确的非典型鳞状细胞(ASC-US)。首次回访2023年10月10日,通知客户到专科医院进一步检查和治疗。2023年10月23日跟踪回访,客户家属告知,已在当地三甲医院住院准备手术。
体检异常结果是受检者在无症状、无体征的情况下发现的某系统或某器官出现的异常,提示某些疾病存在的可能,需要进一步的医疗诊断和治疗,其中最重要的就是重要异常检查结果,如果这些结果能够早发现、早诊断并采取及时、规范的处置,可有效提高重大疾病的诊疗效果,甚至挽救受检者的生命。
仁泰健康管理集团各体检部严格按照《健康体检重要异常结果管理专家共识》的要求,认真做好重要异常结果的告知、处理及跟踪工作,使广大客户在第一时间了解自己存在的重大异常状况,并及时进行进一步的确诊和治疗。重大疾病的早期发现和及时治疗,极大地提高了相关疾病的治疗效果,有效改善了预后。仁泰体检通过全面、细致、准确的健康体检以及严格的质量控制管理,为客户创造了弥足珍贵的健康价值和生命价值。仁泰体检将一如既往的做好重要异常结果管理工作,真正为您的健康保驾护航。