仁泰集团2023年9月份体检重要异常结果分析报告
发布时间:2023-10-16

2023年9月仁泰集团全国九家体检部,发现重要异常检查结果611例,其中A类44例,包括高血糖、高血压、严重窦性心动过缓、过速等,B类567例,其中包括恶性肿瘤(肺癌、甲状腺癌、肾癌、宫颈癌、盆腔恶性肿瘤、甲状腺乳头状癌、脑垂体瘤等)、冠脉狭窄、肺部感染性疾病、甲状腺疾病、肾脏疾病、肝脏疾病、妇科疾病等。重要异常结果检出率为1.5%,回访率100%。这充分说明,健康体检对于早期发现健康隐患及重大疾病,并及时进行干预和处置,有着十分重要的意义。

重要异常检查结果占比排名前五的体检科室:

彩超室占42%、影像科占24%、检验科占23%、妇科占7%、心电图占4%。

重要异常检查结果排名前五的疾病类别分别为:

肺部疾病、甲状腺疾病、肝脏疾病肾脏疾病、妇科疾病。

要异常检查结果案例

01**女士,70岁

2023年8月6日在邯郸仁泰东区体检冠脉CTA检查提示:左冠前降支近段钙化斑块,局部管腔轻微狭窄;中段混合斑块,局部管腔达重度狭窄(约90%左右);回旋支起始段钙化斑块,局部管腔轻度狭窄;右冠多发钙化斑块,近段轻微狭窄,中段轻度狭窄。首次回访2023年8月8日,通知客户去三甲医院进一步检查和治疗。2023年9月9日跟踪回访,客户家属反馈,已在邯郸某三甲医院完成支架手术,现服药治疗。

02、**男士,58岁

2023年8月3日在邯郸仁泰东区体检,腹部彩超检查提示:右肾实性占位性病变,大小为3.8*3.3cm(性质待定),建议进一步检查。首次回访2023年8月4日,通知客户去三甲医院进一步检查和治疗。2023年9月3日跟踪回访,客户反馈在邯郸两家三甲医院检查都建议手术治疗,后选择邯郸市中心医院手术,术后病理诊断肾恶性肿瘤。

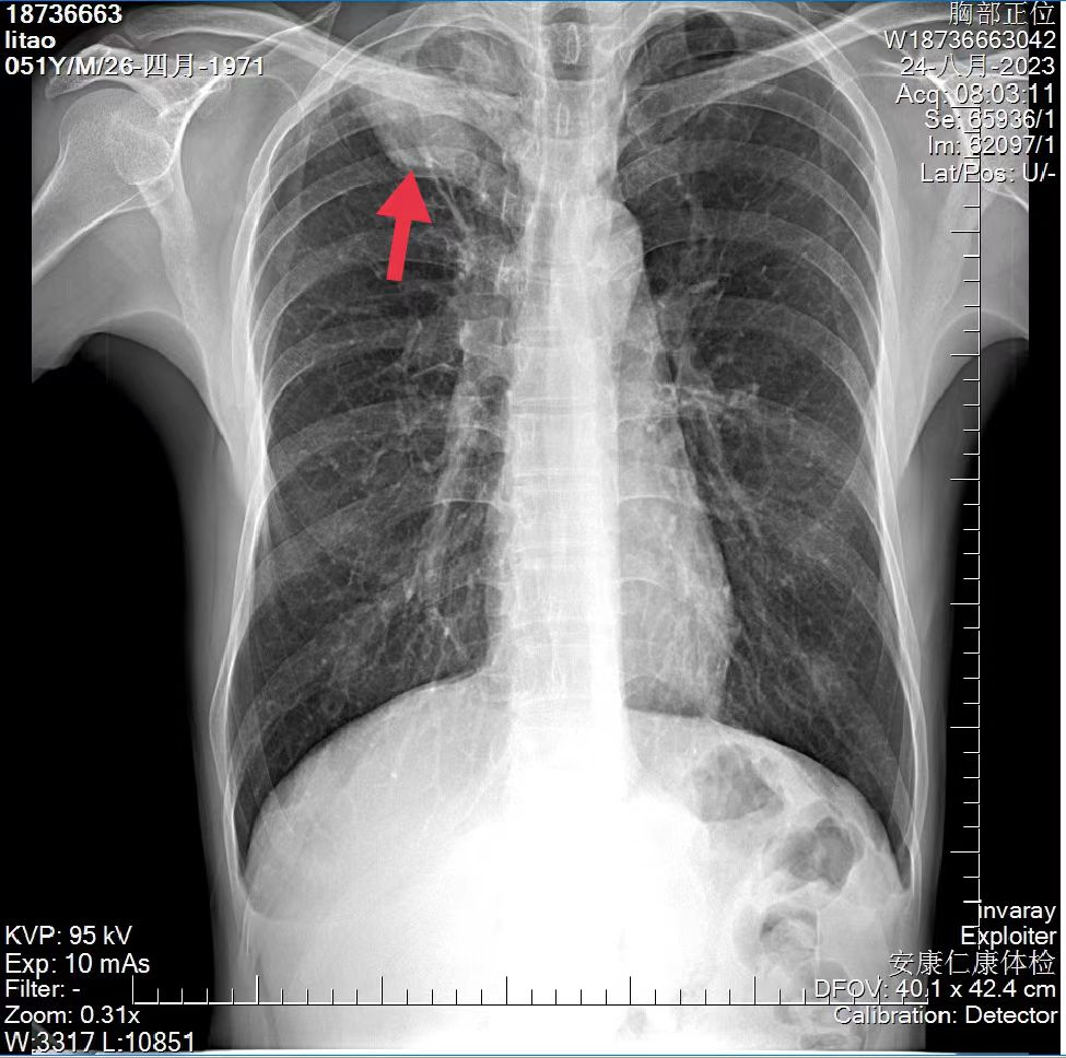
03、**男士,50岁

2023年8月20日在安康仁康体检部体检,胸部正位片提示:右肺尖可见团块状影,大小约6.3*4.0cm;腹部彩超提示:肝右叶可探及4.3*3.8cm中等回声包块,及时通知客户到三级医院进一步检查。于2023年8月28日首次回访,客户在西安某医院住院治疗,2023年9月10日跟踪回访,客户转诊至安康市中心医院住院治疗,病检结果为肺部恶性肿瘤,因无法实施手术治疗,目前化疗中。

04、**女士,69岁

2023年8月28日在邯郸仁泰东区体检,TCT检查提示:意义不明确的非典型鳞状细胞(ASC-US)。2023年8月29日通知客户到专科医院进一步检查和治疗,2023年9月28日跟踪回访,客户家属告知,确诊为宫颈癌,目前在邯郸市中心医院化疗中。

05**女士,65岁

2023年8月30日在邯郸仁泰东区体检,低剂量螺旋CT检查提示右肺下叶后基底段不规则结节,大小约14mm(im135),周围索条影且内见小空泡,邻近胸膜轻度牵拉2023年8月31日通知客户到三甲医院进一步检查和治疗。2023年9月31日跟踪回访,客户家属告知,在北京肿瘤医院完成手术治疗,并对仁泰体检十分感谢。

06**女士,60岁

2023年9月14日在邯郸仁泰南区体检,甲状腺彩超检查提示:甲状腺左叶形态失常,内可见大小约4.8*2.6cm等回声,边界清,内可见多个无回声,较大约0.51*0.45cm。诊断为甲状腺结节占位性病变,2023年9月16日通知客户到专科医院进一步检查。2023年9月30日跟踪回访,客户已在邯钢医院完成手术治疗。


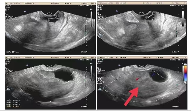
07**女士,65岁

2023年5月28日在邯郸仁泰北区体检,子宫附件彩超检查提示:子宫右上方见大小约8.9*7.4cm低回声团,内见范围约4.3*3.2cm液性暗区,CDFI:且见血流信号。考虑占位性病变,当日通知客户到三甲医院进一步检查,2023年6月10日跟踪回访,客户尚未检查,后连续三次跟踪客户均未检查,2023年8月1日又一次跟踪客户反馈已经检查考虑盆腔恶性肿瘤,家属还在纠结治疗方法,耐心讲解恶性肿瘤早期治疗的好处并劝说家属及时治疗,2023年9月1日再次回访,客户家属告知已完成手术,确诊为盆腔恶性肿瘤,并对仁泰体检专家对客户高度负责的状态表示感谢。

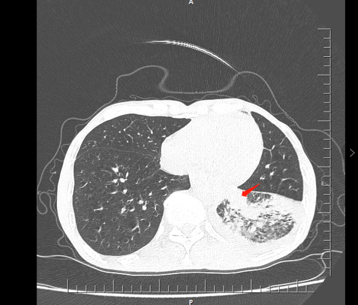
08**男士,68岁

2023年9月29日在邯郸仁泰北区体检,低剂量螺旋CT检查提示左肺下叶占位病变并远端肺不张,肿物大小约40X45mm(im247),左侧胸腔积液。诊断:左肺下叶占位病变并远端肺不张,左侧胸腔积液,当日通知客户到三甲医院进一步检查,2023年10月3日跟踪回访,客户反馈已住院,准备手术治疗。

09**女士,47岁

2023年9月22日在宜昌仁康体检部体检,甲状腺彩超检查提示:甲状腺双叶低回声结节伴部分钙化,右叶7.0*5.9mm;左叶6.4*5.7mm(TI-RADS4B级),建议进一步检查。2023年9月28日跟踪回访,客户告知在宜昌市中心医院穿刺检查诊断甲状腺乳头状癌,已完成手术。

10、**男士,69岁

2023年9月8日在银川仁泰体检部体检,脑核磁检查提示:矢状位显示垂体窝内T2、T1WI示16.8*14.4mm等信号影,考虑脑垂体窝占位性病变,2023年9月12日通知客户到三甲医院进一步检查,明确病变性质,2023年9月20日跟踪回访,客户反馈已确诊为垂体瘤,正在住院做术前准备。

体检异常结果是受检者在无症状、无体征的情况下发现的某系统或某器官出现的异常,提示某些疾病存在的可能,需要进一步的医疗诊断和治疗,其中最重要的就是重要异常检查结果,如果这些结果能够早发现、早诊断并采取及时、规范的处置,可有效提高重大疾病的诊疗效果,甚至挽救受检者的生命。

仁泰健康管理集团各体检部严格按照《健康体检重要异常结果管理专家共识》的要求,认真做好重要异常结果的告知、处理及跟踪工作,使广大客户在第一时间了解自己存在的重大异常状况,并及时进行进一步的确诊和治疗。重大疾病的早期发现和及时治疗,极大地提高了相关疾病的治疗效果,有效改善了预后。仁泰体检通过全面、细致、准确的健康体检以及严格的质量控制管理,为客户创造了弥足珍贵的健康价值和生命价值。仁泰体检将一如既往的做好重要异常结果管理工作,真正为您的健康保驾护航。