
2023年7月仁泰集团全国九家体检部,发现重要异常检查结果536例,其中A类52例,包括高血糖、高血压、严重窦性心动过缓、心房颤动等,B类484例,其中包括恶性肿瘤(肺癌、甲状腺癌、肾癌、乳腺癌、膀胱癌、宫颈癌等)、颈动脉重度狭窄、肺部感染性疾病、甲状腺疾病、肾脏疾病、肝脏疾病、妇科疾病等。重要异常结果检出率为2.3%,回访率100%。这充分说明,健康体检对于早期发现健康隐患及重大疾病,并及时进行干预和处置,有着十分重要的意义。
重要异常检查结果占比排名前五的体检科室:
彩超室占32%、影像科占28%、检验科占26%、妇科占8%、心电图占4%。
重要异常检查结果排名前五的疾病类别分别为:
肺部疾病、甲状腺疾病、肝脏疾病、妇科疾病、肾脏疾病。
重要异常检查结果案例
01、**男士,44岁
于2023年7月16日在邯郸仁泰东区体检,胃镜检查提示:十二指肠球部: 曲门管及大弯一纵行走向粘膜隆起、表面凹凸不平、中心管腔不规则线样凹陷、充血、大量点状白苔附着,余粘膜光整,色正常、通畅,考虑:12指肠球部溃疡(修复期)(恶性变未除外)。建议客户到综合医院专科进一步检查。2023年7月30日跟踪回访,客户已在北京某三甲医院住院准备手术治疗。
02、**男士,49岁
于2023年6月19日在邯郸仁泰北区体检,膀胱输尿管彩超检查提示:膀胱出口处等回声团,大小约2.1*1.0cm,CDFI:其内及周边可见血流信号。诊断: 膀胱出口处等回声团。立即通知客户家属带客户去专科医院进一步检查,2023年7月25日跟踪回访,客户家属告知,已在邯郸市中心医院东区检查,检查结果和我体检中心相同,并在中心医院东区做病理确诊为膀胱癌,属于早期,客户家属表示幸亏做体检,早期发现了病变,感谢仁泰体检。
03、**男士,67岁
于2023年6月14日在邯郸仁泰东区体检,颈动脉彩超检查提示:双侧颈总动脉内中膜局部增厚,较厚处约0.13cm。左侧颈动脉内可见多个斑块,较大的位于颈动脉中段后壁,大小约2.6cm*0.3cm的低回声斑,右侧颈动脉内可见多个斑块,较大的位于颈总动脉分叉处前壁至颈内起始处前壁,大小约2.9cm*0.44cm混合回声斑,造成颈内起始处管腔狭窄,狭窄率约90%,CDFI:斑块处血流充盈缺损。立即通知客户到专科医院进一步检查。2023年7月13日跟踪回访,客户告知,已在邯郸某三甲医院住院准备支架治疗。
04、**女士,50岁
于2023年6月13日在邯郸仁泰东区体检,子宫附件彩超检查提示:盆腔内不规则囊实性包块,大小约21*11*10cm,以囊性为主,内见多个分隔,部分内透声差,CDFI:实性部分可见血流信号。2023年6月13日首次回访,通知客户到三甲医院进一步检查。2023年7月18日跟踪回访,客户告知,已在邯郸市中心医院东区完成肿瘤切除手术,术后恢复良好。
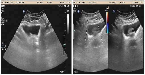
05、**女士,60岁
于2023年7月25日在邯郸仁泰北区体检,腹部彩超检查提示:右肾皮质部内见大小2.0*2.2cm低回声,边界尚清晰、形态欠规整,周边可见少量血流信号。诊断:右肾低回声;双肾CT检查考虑:肾占位性病变,建议客户肾增强CT检查。2023年8月1日跟踪回访,客户家属告知,增强CT考虑右肾占位,已住院准备手术治疗。
06、**女士,40岁
于2023年7月15日在邯郸仁泰西区体检,乳腺彩超检查提示:左侧乳腺约4-5点方向,见大小约1.2*0.9cm低回声,边界欠清,形态欠规整,诊断:左侧乳腺占位性病变。2023年7月22日首次回访,客户已到北京协和医院就诊,进一步检查明确病变性质。2023年7月31日跟踪回访,客户家属告知,确诊“乳腺癌”并在北京协和医院手术治疗。
07、**女士,57岁
于2023年7月18日在安康仁康体检部体检,妇科检查提示:宫颈肿物,宫颈失去正常外形,质硬,凹凸不平,触血阳性,建议客户进一步检查。2023年7月23日电话回访,客户在安康市中心医院进一步检查待结果。2023年7月28日跟踪回访,确诊为宫颈癌阴道壁转移,已转至西安肿瘤医院进一步治疗。
08、**女士,46岁
于2023年7月8日在邢台仁泰体检部体检,甲状腺彩超检查提示:甲状腺右叶可探及大小约0.9*0.7*0.7cm等回声结节,左叶可探及大小约0.8*0.7*0.8cm低回声结节,内可见多个点状强回声,边界清,形态欠规整,纵横比大于1。考虑:甲状腺结节伴钙化4b级。2023年7月8日首次回访,通知客户到三甲医院进一步检查。2023年7月14日跟踪回访,客户已在河北医科大学第二医院就诊,考虑甲状腺癌,准备手术治疗。
09、**女士,56岁
于2023年7月25日在银川仁泰体检部体检,腹部彩超检查提示:左侧肾上腺区可见一低回声团,大小约37x34mm,边界欠清,内回声不均。考虑:左侧肾上腺区占位性病变(性质待定)。建议客户到综合医院专科进一步检查。2023年8月2日跟踪回访,已在当地某三甲医院住院,准备手术。
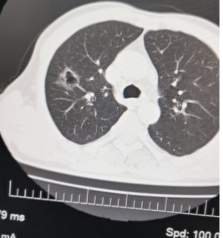
10、**男士,30岁
于2023年7月17日在邯郸仁泰南区体检,低剂量薄层CT扫描提示:右肺上叶磨玻璃结节,空洞结节,较大结节大小约30mm,考虑非良性结节。建议客户到综合医院专科进一步检查。2023年7月23日电话回访,客户已到北京协和医院复查, 进一步检查明确病变性质。2023年7月31日跟踪回访,客户已在北京协和医院手术治疗。
体检异常结果是受检者在无症状、无体征的情况下发现的某系统或某器官出现的异常,提示某些疾病存在的可能,需要进一步的医疗诊断和治疗,其中最重要的就是重要异常检查结果,如果这些结果能够早发现、早诊断并采取及时、规范的处置,可有效提高重大疾病的诊疗效果,甚至挽救受检者的生命。
仁泰健康管理集团各体检部严格按照《健康体检重要异常结果管理专家共识》的要求,认真做好重要异常结果的告知、处理及跟踪工作,使广大客户在第一时间了解自己存在的重大异常状况,并及时进行进一步的确诊和治疗。重大疾病的早期发现和及时治疗,极大地提高了相关疾病的治疗效果,有效改善了预后。仁泰体检通过全面、细致、准确的健康体检以及严格的质量控制管理,为客户创造了弥足珍贵的健康价值和生命价值。仁泰体检将一如既往的做好重要异常结果管理工作,真正为您的健康保驾护航。